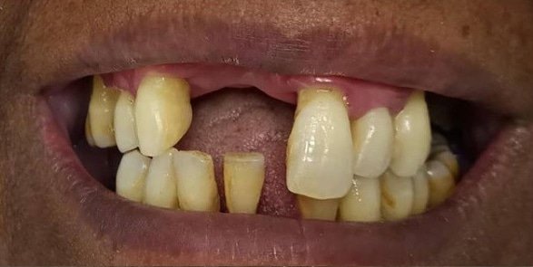
2a

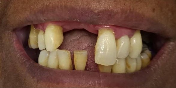
Return to 2a

כתיבת תגובה

האימייל לא יוצג באתר. שדות החובה מסומנים *

פתח צ'אט
צריך עזרה?
הי
אם יש לך שאלות אשמח לעזור
Powered by